Upozornění: Milí zákazníci, přešli jsme na nový web. Pokud jste měli vytvořený zákaznický účet na tom starém a teď se nemůžete přihlásit, zvolte: "nastavit nové heslo" a pokračujte dle instrukcí.

S. A. B. Medical
Váš partner
v nejmodernějších
trendech medicíny
Přihlásit se
Přihlásit se
S. A. B. Medical Váš partner
v nejmodernějších
trendech medicíny

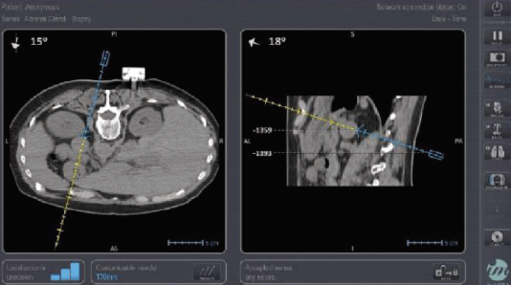
Imactis - CT navigace

Imactis je špičkový navigační systém, který optimalizuje intervenční radiologické procedury pomocí přesné CT navigace. Zásadně snižuje radiaci pro pacienta i personál a výrazně zkracuje dobu trvání zákroku, což vede k výrazné úspoře nákladů. Díky své přesnosti a efektivitě se stal klíčovým nástrojem v moderní medicíně.

Co oceníte na Imactis CT navigaci

Snížení radiace

 Přesnost a bezpečnost

 Úspora času a nákladů

 Univerzální využití

 Snadná integrace

  • Radiologie hraje klíčovou roli v diagnostice a léčbě mnoha onemocnění. Využívá se pro dosažení cílových míst v lidském těle, ať už se jedná o orgány, cévy, nebo nádorové léze. Systém Imactis tento proces zjednodušuje a činí ho bezpečnějším. Díky přesnému navádění pomáhá efektivně optimalizovat každodenní procedury spojené s intervenční radiologií.

    Proč je Imactis důležitý?

    • Bezpečnost: Snížením počtu kontrolních snímků se snižuje radiace pro pacienta, lékaře i další personál až o 60 %. To zásadně zvyšuje bezpečnost každého zákroku.

    • Přesnost: Systém zpřesňuje zaměření cílových míst až o 50 %. Díky tomu mohou lékaři provádět zákroky s maximální precizností a dosahovat lepších klinických výsledků.

    • Úspora času a nákladů: Zkrácení doby trvání procedur a snížení potřeby opakovaných snímků vede k výrazné úspoře nákladů a času, což zvyšuje efektivitu zdravotnického pracoviště.

    • Univerzální využití: Navigační systém Imactis nachází uplatnění nejen v intervenční radiologii. Je skvělým nástrojem pro výuku studentů medicíny, ale také v mnoha dalších oborech, které vyžadují přesné navádění v lidském těle.

    • Snadná integrace: Systém lze snadno integrovat do stávajících CT pracovišť, což minimalizuje potřebu velkých investic do nového vybavení.

    Díky všem těmto výhodám se Imactis stává nezbytnou součástí moderního lékařského vybavení, protože umožňuje efektivnější a bezpečnější přístup k léčbě a diagnostice řady onemocnění.

     

  • Popis

    Radiologie hraje klíčovou roli v diagnostice a léčbě mnoha onemocnění. Využívá se pro dosažení cílových míst v lidském těle, ať už se jedná o orgány, cévy, nebo nádorové léze. Systém Imactis tento proces zjednodušuje a činí ho bezpečnějším. Díky přesnému navádění pomáhá efektivně optimalizovat každodenní procedury spojené s intervenční radiologií.

    Proč je Imactis důležitý?

    • Bezpečnost: Snížením počtu kontrolních snímků se snižuje radiace pro pacienta, lékaře i další personál až o 60 %. To zásadně zvyšuje bezpečnost každého zákroku.

    • Přesnost: Systém zpřesňuje zaměření cílových míst až o 50 %. Díky tomu mohou lékaři provádět zákroky s maximální precizností a dosahovat lepších klinických výsledků.

    • Úspora času a nákladů: Zkrácení doby trvání procedur a snížení potřeby opakovaných snímků vede k výrazné úspoře nákladů a času, což zvyšuje efektivitu zdravotnického pracoviště.

    • Univerzální využití: Navigační systém Imactis nachází uplatnění nejen v intervenční radiologii. Je skvělým nástrojem pro výuku studentů medicíny, ale také v mnoha dalších oborech, které vyžadují přesné navádění v lidském těle.

    • Snadná integrace: Systém lze snadno integrovat do stávajících CT pracovišť, což minimalizuje potřebu velkých investic do nového vybavení.

    Díky všem těmto výhodám se Imactis stává nezbytnou součástí moderního lékařského vybavení, protože umožňuje efektivnější a bezpečnější přístup k léčbě a diagnostice řady onemocnění.

     

Máte na nás otázku?

Rádi Vám odpovíme

O vaše data je u nás postaráno. Přečtěte si naše podmínky pro zpracování osobních údajů.

Zavolejte nám

Jsme na telefonu

515 917 511

Kontaktujte nás

Centrála Brno

Firemní 710/2,
Brno 619 00

(PO-PÁ: 7:00-15:30)